
清空記錄
歷史記錄
取消
清空記錄
歷史記錄








特發性肺纖維化的發病原因尚不明確,患者的自然史差異很大,但肺功能快速下降會降低生活質量,如果不進行干預,最終導致死亡。目前IPF診斷后的中位生存期僅有2~5年,是相當致命的一種疾病。近年來,隨著診斷的優化和人群的老齡化,IPF的發病率和患病率呈現上升趨勢。針對IPF的治療目前并沒有特效的治療方法,主要是以糖皮質激素為主的免疫治療、抗炎、免疫抑制、抗纖維化、抗氧化等手段,但治療效果有限,IPF相關疾病模型對該病的基礎研究及新藥開發具有重要價值,博來霉素誘導的肺纖維化模型,已被廣泛應用于研究肺纖維化的發病機制和測試潛在的治療方法。
模型機制:博來霉素(Bleomycin,BLM)是一種從輪枝鏈霉菌中提取的抗生素,主要用于治療某些類型的癌癥,但其副作用之一是可能導致肺纖維化。博來霉素通過誘導DNA斷裂、產生自由基、引發氧化應激反應,導致細胞凋亡或壞死,進而誘導炎癥反應和纖維化。

圖1. 博來霉素(BLM)誘導動物肺纖維化作用機制
小鼠肺纖維化模型
種屬:SPF級C57/BL6雌性小鼠,體重約18~20g。
動物周齡:4-6 weeks
造模方法:
麻醉小鼠,仰臥固定于實驗臺上,頸部去毛后酒精消毒,切開皮膚,逐層暴露氣管,將1mL注射器經兩氣管軟骨環間隙朝向心端刺入氣管,回抽無阻力,注入博來霉素(根據動物批次摸索最佳造模劑量,對照組注入等量的生理鹽水)。手術完畢后迅速將動物直立、旋轉,使藥液在肺內分布均勻,動物清醒后常規飼養。
大鼠肺纖維化模型
種屬:SD雄性大鼠,體重約200~250 g。
動物周齡:6-8 weeks
造模方法:
大鼠麻醉后仰臥位固定,頭部后仰使氣管稍微蹦緊。碘伏棉球消毒,切口位置選擇頸部正中線上胸骨角上方0.5cm。使用鑷子繃緊皮膚縱向剪開皮膚、筋膜。依次暴露夾肌下緣、二腹肌后腹或胸骨舌骨肌,可見氣管的環狀軟骨。確認氣管位置后,助手用小彎鑷于氣管左右兩側輕微抵夾固定。主刀者于兩環狀軟骨之間進針,感覺到落空感后,針尖略微上挑,回抽無阻力后,快速注入博來霉素(根據動物批次摸索最佳造模劑量,對照組注入等量的生理鹽水)。助手立即將固定板抬高,同時主刀縫合皮膚。縫合完畢后,再次碘伏消毒切口,將大鼠上半身抬高60°放置一旁,同時注意保暖。
模型評價
肺纖維化模型發展時間:博來霉素造模后第 7 天肺組織大多呈重度肺泡炎性改變,肺泡腔及肺間質內有大量中性粒細胞浸潤,部分肺泡腔破壞或消失,肺間隔內成纖維細胞和毛細血管增生,與正常肺組織對比差別明顯。造模后第14天,肺纖維化開始形成。巨噬細胞、中性粒細胞等炎性細胞明顯減少,成纖維細胞增多,肺泡間隔明顯增厚,有膠原沉積。造模后第28天,多數動物發生彌漫性肺間質纖維化,肺間質被膠原纖維和成纖維細胞替代,肺泡壁破壞,肺大泡形成,但仍可見炎性細胞浸潤。
檢測指標:
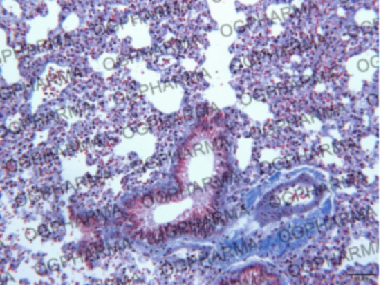
肺纖維化動物模型,通過蘇木精-伊紅(Hematoxylin Eosin, HE)染色和馬松(Masson)染色、測定羥脯氨酸(hydroxyproline, HYP)質量分數、檢測轉化生長因子β1(transform growth factor β1,TGF-β1)、α-平滑肌肌動蛋白(α-SMA)等蛋白表達水平評價BLM誘導肺纖維化的作用效果或受試藥物的療效,探討可能的發病機制或藥物作用機制。
圖2. 小鼠肺纖維化HE染色圖譜

對照組

模型組
圖3. 小鼠肺纖維化Masson染色圖譜

對照組

模型組
模型特點:
●短時間內快速成模(2-3 周可見典型病理)
●可重現性強
●病理組織學改變與人類肺纖維化相似。
